Knie: Arthrose

Diagnose / Therapie / Ansprechpartner

Begriffserklärung und Entstehungsursachen

Als Kniearthrose, auch Kniegelenksarthrose oder Gonarthrose genannt, werden alle verschleißbedingten Erkrankungen des Kniegelenkes bezeichnet, die durch eine zunehmende Zerstörung des Gelenkknorpels unter Beteiligung der Gelenkstrukturen wie Knochen, Gelenkkapsel sowie gelenknaher Muskulatur gekennzeichnet sind.?Das Gerüst des Kniegelenks besteht neben Seiten- und Kreuzbändern aus drei Knochen: dem Oberschenkel, dem Schienbeinkopf sowie der Kniescheibe. Bei der medialen Kniearthrose ist hauptsächlich der innere Anteil des Kniegelenks betroffen, während die laterale Kniearthrose sich auf den äußeren Anteil des Kniegelenkes konzentriert. Definiert sind zudem die Retropatellararthrose (Verschleiß der Kniescheibengelenkfläche) und die Pangonarthrose (alle drei Gelenkteile sind betroffen).?Frauen leiden häufiger unter einer Kniearthrose als Männer. Ursachen für die Entstehung sind beispielsweise Beinachsenfehlstellungen (X- oder O-Beine), Verletzungen des Kniegelenkes, Krankheiten wie Rheuma, Gicht oder chronische Polyarthritis oder Entzündungen des Kniegelenks durch Bakterien. Begünstigt wird die Entstehung einer Kniearthrose durch Übergewicht.

Symptome und Beschwerden

Oft empfinden die Patienten ein Steifheitsgefühl des Kniegelenks nach längerem Liegen oder Sitzen, kombiniert mit einem Anlaufschmerz. Im Verlauf der Krankheit schwillt das Gelenk leicht an und die Reizschübe werden immer häufiger sowie langwieriger. Auch Treppensteigen, Bergauf- und Bergabgehen können schmerzhaft sein. Die Patienten klagen zudem oft über ein Unsicherheitsgefühl des Kniegelenks (Einknicken oder Giving-way). Durch die schmerzbedingte Schonung schwindet nach und nach die Muskulatur des Oberschenkels. Die Gelenkbeweglichkeit nimmt immer weiter ab und auch im Ruhezustand treten mitunter starke Beschwerden auf. Es kann auch zu Achsenveränderungen des Kniegelenks – also der Entwicklung von X- oder O-Beinen – kommen.

Diagnose

Die Diagnose wird zunächst anhand einer detaillierten Untersuchung gestellt. Der behandelnde Arzt beurteilt beispielsweise die Beinachse, die Beinlängendifferenz, die Muskulatur, das Gangbild, die Kniescheibenbeweglichkeit sowie etwaige Schwellungen oder Hautveränderungen. Die Basis der bildgebenden Diagnostik ist das Röntgenbild. Mit einer langen Aufnahme (Ganzbeinstandaufnahme) kann zudem die Situation des Knies unter Belastung mit dem Körpergewicht untersucht werden, als auch die Beinachse vermessen werden. Auch zur Planung einer Operation eignet sich eine solche Aufnahme. Ergänzend können in besonderen Fällen noch eine Kernspintomografie, eine Blutentnahme zur Untersuchung im Labor oder auch eine Szintigrafie durchgeführt werden.

Bild 1: Röntgenbild einer
Kniegelenksarthrose

Bild 1 (anklicken zum Vergrößern): Röntgenbild einer Kniegelenksarthrose. Links eine fortgeschrittene Varus-Gonarthrose (mit einem O-Bein einhergehend): Der innere Gelenkspalt ist vollkommen zusammengesunken, das Gelenk steht nicht mehr „passend“ aufeinander, die Achse ist verschoben. Darunter ein arthroskopischer Blick in ein arthrotisches Kniegelenk: Man sieht den teilweise zerstörten Knorpel und den aufgefransten Meniskus. Rechts ein normales Kniegelenk. Man beachte den gut einsehbaren Gelenkspalt und die runden, gut zueinander passenden Gelenkflächen. Darunter ein arthroskopischer Blick in ein normales Kniegelenk: Gut erhaltener Knorpel und Meniskus.

Therapie

Die Therapie einer Kniearthrose ist in den meisten Fällen zunächst konservativ. Mit Schmerzmitteln und entzündungshemmenden Medikamenten sowie physiotherapeutischen Maßnahmen wird versucht, Schmerzen zu lindern, das Gelenk beweglich zu halten, Muskeln aufzubauen und das Voranschreiten der Krankheit zu verlangsamen oder zu verhindern. Auch Wärme-, Kälte-, und Elektrotherapie sowie Akupunktur kommen als Behandlungsmöglichkeiten in Frage. Ergänzend können Hilfsmittel wie Gehstöcke, Pufferabsätze oder Einlagen eingesetzt werden, um das Kniegelenk zu entlasten. Eine Operation sollte nur bei Patienten durchgeführt werden, bei denen die konservativen Therapiemaßnahmen über einen gewissen Zeitraum keine Besserung der Beschwerden gebracht haben.
Besteht eine höhergradige Fehlstellung oder ist die Arthrose fortgeschritten und die Knorpelschicht teilweise verloren gegangen, sind häufig operative Maßnahmen erforderlich.
Bei der Umstellungsoperation (Osteotomie) werden die ursprünglichen Beinachsen wiederhergestellt (bei geringen Verschleißerscheinungen) oder sogar eine Überkorrektur durchgeführt, damit das Fortschreiten der Arthrose verlangsamt oder – im Idealfall – die Entstehung einer Arthrose verhindert werden kann. Dies geschieht dadurch, dass die Lastverteilung im Kniegelenk wieder normalisiert wird, bzw. auf den noch unbelasteten Knorpel verlegt wird.

Bild 2: Hochgradige
O-Beinstellung

Bild 2 (anklicken zum Vergrößern): Hochgradige O-Beinstellung (Varus) des Beines (linkes Bild). Mitte: Planungszeichnung (Computersimulation) der Korrektur. Rechts: Durchgeführte Achskorrektur mit einer öffnenden Osteotomie und einer Platte am Tibiakopf.

Kniegelenkersatz – Endoprothesen des Kniegelenks

Die Roland-Klinik ist als Endoprothesenzentrum der Maximalversorgung unter anderem auf den endoprothetischen Gelenkersatz des Kniegelenks spezialisiert. Jedes Jahr werden etwa 400 Kniegelenks-Implantationen und Wechseloperationen durchgeführt. Die Zertifizierung als Endoprothesenzentrum der Maximalversorgung erfolgte im April 2013. Das bedeutet: Jede Operation wird von einem erfahrenen Facharzt durchgeführt bzw. überwacht, der eine Mindestanzahl an endoprothetischen Operationen pro Jahr selber durchführt. Die Versorgung durch einen absoluten Spezialisten in diesem Bereich ist somit gewährleistet.
Die Versorgung des Kniegelenkes wird individuell auf den Patienten abgestimmt.
Zu Beginn steht die Entscheidung, ob eventuell eine gelenkerhaltende Maßnahme sinnvoll erscheint und die Knieprothese zumindest herausgeschoben werden kann.
Für die endoprothetische Versorgung stehen minimalinvasive Verfahren (unikompartimenteller Ersatz, sog. „Schlittenprothese“) sowie vollständige Gelenkendoprothesen zur Verfügung. Hierbei ist es der Roland-Klinik wichtig, neben der langjährigen Erfahrung und Routine der Operateure, ausschließlich hochwertige Implantate zu verwenden, die in Langzeituntersuchungen über mehrere Jahrzehnte ihre Tauglichkeit und gute Funktion bewiesen haben. Mit der von der Roland-Klinik verwendeten Standard-Knieprothese („LCS“) sind jetzt mehr als 30 Jahre exzellenter klinischer Langzeiterfahrung vorhanden. Die Roland-Klinik ist im Bremer Raum die Klinik mit der längsten Erfahrung mit diesem Prothesentyp.
Die LCS-Knieprothese zeichnet sich durch einen minimalen Abrieb der Verschleißteile aus, indem die Form und Funktion des Kniegelenkes bestmöglich imitiert wird. Durch rotierende und gleitende Teile in der Knieprothese wird sichergestellt, dass der Druck nach dem LCS-Prinzip (= Low Contact Stress, also niedrige Kontakt-Belastung) auf die einzelnen Teile der Prothese möglichst niedrig gehalten wird, um einen vorzeitigen Verschleiß zu verhindern.
Letztlich fällt die finale Entscheidung über die richtige Auswahl der Prothese während der Operation und wird an die Größenverhältnisse des Patienten und den individuellen Ausgangszustand angepasst.

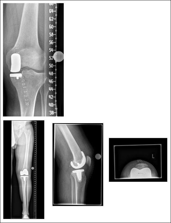
Abbildung 3

Abb. 3 (anklicken zum Vergrößern): Oben: Unikompartimenteller Ersatz des Kniegelenks: „mediale Schlittenprothese“. Nur der verschlissene Anteil des Kniegelenks wird ersetzt, der gesamte Bandapparat des Kniegelenks kann erhalten bleiben.
Unten: Röntgenbild eines Oberflächenersatzes („LCS“-Knieprothese).

Nachbehandlung

Nach Umstellungsoperationen ist in der Regel eine kurzfristige (bis zu sechs Wochen dauernde) Teilbelastung einzuhalten. In dieser Zeit wird das Bein mit der Hilfe von Unterarmgehstützen entlastet. Bei allen Gelenkersatzoperationen kann das Bein nach der Operation in aller Regel sofort mit voller Belastung mobilisiert werden, auch wenn bis zur Wundheilung und in der frühen Reha-Phase Unterarmstützen eingesetzt werden, um die Muskulatur noch zu entlasten.
Der stationäre Aufenthalt nach einer Operation (Kniegelenks-Endoprothese) dauert in der Regel 14 Tage. Dieser Zeitraum hat sich bewährt, weil bis dahin normalerweise das Nahtmaterial entfernt werden und die Wundheilung sicher beurteilt werden kann. Ein sehr wichtiger Schwerpunkt liegt auf der postoperativen Schmerz- und Bewegungstherapie. Um unsere Patienten schnellstmöglich wieder auf die Beine zu bekommen (die Mobilisation beginnt gleich am ersten Tag nach der Operation), wird ein differenziertes Schmerzmanagement durchgeführt. Hierfür arbeit ein speziell ausgebildetes Schmerzteam unter federführender Beteiligung unserer Anästhesie-Abteilung. Im Mittelpunkt stehen Narkoseverfahren, die eine lokale Betäubung des Kniegelenkes und eine entsprechende gezielte postoperative Schmerztherapie ermöglichen – eine tägliche Schmerzvisite wird von den spezialisierten Ärzten der Abteilung durchgeführt. Gleichzeitig erfolgt die frühzeitige Mobilisation, z.B. Gangschulung durch unsere physiotherapeutische Abteilung und dem Einsetzen von motorisierten Bewegungsschienen.
Nach dem stationären Aufenthalt schließt sich in aller Regel eine Rehabilitationsbehandlung von etwa drei Wochen an, die durch Mitarbeiter unseres Hauses in die Wege geleitet wird. Wir arbeiten mit vielen Reha-Kliniken in und um Bremen herum zusammen – auch eine ambulante Reha kann mit Erfolg durchgeführt werden.

Kontakt

Zentrum für Endoprothetik, Fußchirurgie, Kinder- und Allgemeine Orthopädie
Chefarzt Prof. Dr. Ralf Skripitz

Tel 0421.8778-357
Fax 0421.8778-109
Mail orthopaedie@roland-klinik.de

Terminvergabe:

terminvergabe@roland-klinik.de