Fuß: Hallux valgus

Diagnose / Therapie / Ansprechpartner

Begriffserklärung und Entstehungsursachen

Falsche Belastung durch zu enge Schuhe gepaart mit einem Spreizfuß kann mit der Zeit eine „Ballenzehe“ entstehen lassen, eine Fehlstellung des großen Zehs (Hallux valgus). Frostballen, Fußballenentzündung, Beulenfuß – diese Begriffe werden für den Hallux valgus verwendet, wobei Hallux im Lateinischen Großzehe und valgus schief oder krumm bedeutet. Er ist die häufigste und bedeutsamste Zehenfehlstellung bei Erwachsenen. Das typische Bild: Das Gelenk des großen Zehs richtet sich nach außen und der Zeh dreht sich nach innen (also in Richtung der anderen Zehen des Fußes).

Eine Ursache sind Spreizfüße. Hierbei wird der Ballen breiter und die erste Zehe gerät in eine schiefe Stellung. Sie entstehen durch genetische Komponenten und weil unsere Füße im Laufe des Lebens immer mehr ihre natürliche Haltung verlieren. So ist diese Fehlstellung bei Frauen häufiger als bei Männern. Eine weitere verstärkende Ursache sind hohe oder zu enge Schuhe, denn sie lassen dem großen Zeh nicht genügend Platz und drücken ihn an die anderen Zehen.

Symptome und Beschwerden

Schmerzen beim Abrollen des Fußes und das sichtbare Heraustreten des Großzehengelenks sind Anzeichen für einen Hallux valgus.

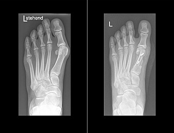
OP nach Chevron vorher und nachher
OP nach Chevron vorher und nachher

Diagnose

Bei einer Untersuchung prüft der Fußchirurg oder Orthopäde zunächst durch Abtasten und Anschauen des Fußes, wie stark dieser belastet ist. Es sollten stets beide Füße untersucht werden, denn nur so erhält man Hinweise auf Abweichungen und darauf, wie stabil oder instabil ein Patient auf seinen Füßen steht. Ein Blick auf dessen Schuhe oder Einlagen lässt weitere Rückschlüsse zu und die anschließende Röntgenaufnahme, auch unter Belastung des Fußes, führt schließlich zur exakten Diagnose.

Therapie

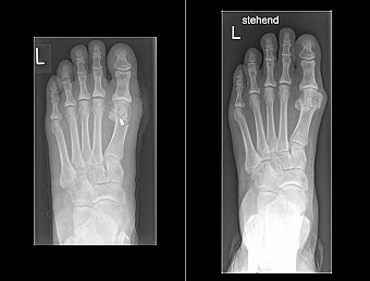
OP in Scarf-Technik vorher und nachher
OP in Scarf-Technik vorher und nachher

Zu Beginn der Behandlung steht immer die konservative Therapie: mit Einlagen oder einer Schiene aus Schaumstoff oder Filz, die zwischen die erste und zweite Zehe gelegt wird. Ist der Fußballen entzündet, lindern Medikamente oder Umschläge die Schmerzen. Dies hilft in einem frühen Stadium und wird bei Patienten angewendet, die sich nicht operieren lassen wollen oder können. Häufig wird diese Behandlung bereits durch den niedergelassenen Arzt eingeleitet und kontrolliert.

Ist der Hallux valgus fortgeschritten, die Gelenkstellung „aus den Fugen“ geraten und treten die Schmerzen häufiger auf, ist eine Operation notwendig. Die Fußchirurgie hat hierbei große Fortschritte gemacht. Es gibt zahlreiche OP-Verfahren, von denen sich einige besonders bewährt und durchgesetzt haben, beispielsweise spezielle Implantate, die eine hohe Stabilität von Anfang an versprechen und für eine schnellere Mobilisation sorgen.

OP in Mini-Scarf-Technik vorher
und nachher
OP in Mini-Scarf-Technik vorher und nachher

Häufig wird eine Osteotomie durchgeführt: Die gezielte Durchtrennung des Mittelfußknochens an einer Stelle. Der Knochen wird wieder in seine natürliche Position gerückt, das Gelenk zentriert und die Weichteile bzw. Kapsel und Sehnen korrigiert. Für Stabilität sorgen zum Beispiel Schrauben oder Platten.

Patienten mit einer fortgeschrittenen Arthrose im Zehengelenk hilft unter Umständen eine Gelenkversteifung gegen die Schmerzen. Künstliche Gelenke am Großzehengrundgelenk stellen auch eine ernst zu nehmende Alternative dar, wenn die Beweglichkeit erhalten werden soll.

Nachbehandlung

Nach dem Eingriff braucht der Fuß viel Ruhe und einen Verbandsschuh, der ihn entlastet, mit dem aber in der Regel ein Auftreten und Gehen auch ohne Stützen möglich ist. Sechs Wochen später können Patienten wieder normale Schuhe tragen. Anschließend sollte der Fuß trainiert werden, um einem Rückfall vorzubeugen. Dabei helfen auch bequeme, nicht zu enge Schuhe.

Ansprechpartner

Zentrum für Endoprothetik, Fußchirurgie, Kinder- und Allgemeine Orthopädie
Chefarzt Prof. Dr. Ralf Skripitz

Tel 0421.8778-357
Fax 0421.8778-109
Mail orthopaedie@roland-klinik.de

Terminvergabe:

terminvergabe@roland-klinik.de