Fuß: Plattfuß (bei Kindern)

Diagnose / Therapie / Ansprechpartner

Begriffsklärung und Entstehungsursache

Der Plattfuß sieht häufig äußerlich aus wie der kindliche Knicksenkfuß.
Beim angeborenen Plattfuß, der eher selten vorkommt, handelt es sich um eine Fehlstellung des Sprungbeines in der Knöchelgegend. Der Plattfuß des älteren Kindes zeigt sich als Absinken des Fußlängsgewölbes mit einer Fehlstellung der Ferse.

Symptome und Beschwerden

Bei älteren Kindern kann ein Plattfuß schmerzhaft sein. Die Fußfehlstellung führt zu belastungsabhängigen Beschwerden. Die Ausdauer bei sportlichen Tätigkeiten ist gemindert.

Plattfuss

Diagnose

Der angeborene Plattfuß ist sofort bei Geburt erkennbar.
Der Plattfuß beim älteren Kind wird durch die klinische und röntgenologische Untersuchung festgestellt. Meistens ist der Fuß ein sogenannter „flexibler Plattfuß“, das heißt die Fehlstellung korrigiert sich automatisch im Zehenspitzenstand.
Durch spezielle Unersuchungsmethoden können Verkürzungen von Muskelgruppen und echte knöcherne Fehlstellungen als Ursache entdeckt werden. Oftmals kommt es auch zu einem knöchernen oder bindegewebigen Zusammenwachsen (sogenannte „Coalitio“) zweier Fußknochen (meist Fersenbein und Kahnbein), die die Beweglichkeit einschränken und eine unflexible Fehlstellung sowie Schmerzen verursachen.

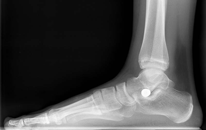
Schraube
im unteren Sprunggelenk

Therapie

Bei Säuglingen wird beim angeborenen Plattfuß der Fuß durch eine Gipsbehandlung in eine bessere Stellung gebracht. Später kann durch Krankengymnastik die weitere Entwicklung des Fußes unterstützt werden.
Bei älteren Kindern mit flexiblen Plattfüßen ist zunächst immer eine konservative Therapie ratsam. Durch intensiv und regelmäßig durchgeführte, gezielte Übungen, können Fehlstellungen behandelt werden. Die Kinder benötigen eine Anleitung von Physiotherapeuten, müssen dann die Übungen aber in Eigenregie über einen längeren Zeitraum fortführen. Es gibt zahlreiche spielerische Übungen, die mit Kindern gemacht werden können und viel Spaß bringen.
Nur selten sind operative Maßnahmen notwendig. Die Möglichkeiten hierbei variieren je nach Schwere der Fehlstellung. Das untere Sprunggelenk kann mit einer Schraube derart geblockt werden, dass der Fuß nicht mehr in die Fehlstellung neigt. Weitere Therapiemethoden sind Sehnenverlängerungen und knöcherne Korrekturen. Liegt eine Coalitio (siehe oben) vor, kann diese operativ gelöst werden mit und ohne knöcherne Korrektur der Fehlstellung.

Nachbehandlung

Je nach Eingriff ist postoperativ eine Teilbelastung an Unterarmgehstützen oder eine spezielle Schienen- bzw. Gipsbehandlung notwendig.

Wie bei der Behandlung aller Fußfehlstellungen im Kindesalter steht die regelmäßige Kontrolle durch Orthopäden im Vordergrund, um den Zeitpunkt einer notwendigen Therapie nicht zu verpassen.

Ansprechpartner

Zentrum für Endoprothetik, Fußchirurgie, Kinder- und Allgemeine Orthopädie
Chefarzt Prof. Dr. Ralf Skripitz

Tel 0421.8778-357
Fax 0421.8778-109
Mail orthopaedie@roland-klinik.de

Terminvergabe:

terminvergabe@roland-klinik.de